Que possibilidades considerar após avaliar os estudos de imagem?
Adolescente de 16 anos veio ao laboratório para fazer ultrassonografia abdominal e escrotal, embora não tivesse queixas clínicas ou alterações evidentes ao exame físico. Estava em acompanhamento laboratorial de proteinúria leve e albuminúria havia seis anos, sem causa esclarecida. Os valores de proteinúria variavam entre 0,21 e 0,68 g/L (VN inferior a 0,05 g/L) e 0,16 e 1 g/24h (VN inferior a 0,15 g/24h). Já os de albuminúria variavam entre 32 e 545 g/24h (VN inferior a 0,15 g/24h). Os demais exames laboratoriais de sangue e urina encontravam-se dentro da normalidade.
| Diante das alterações observadas, qual o diagnóstico? |
|---|
|
A

B

C

D
E
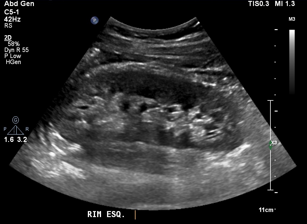
As imagens da ultrassonografia abdominal avaliaram o rim esquerdo (A) e a veia renal esquerda no eixo longo (B). Ao estudo com Doppler colorido e pulsado, a veia renal esquerda foi visualizada ao longo do seu trajeto (C) e as velocidades, aferidas na sua porção proximal (D). A ultrassonografia escrotal com Doppler, em repouso, mostrou o fluxo das veias do plexo pampiniforme esquerdo (E)
Exoma identifica nova variante patogênica germinativa no gene CEBPA, associado à doença
Estudos recém-publicados mostram relação causal entre vacinação contra herpes-zóster.
Ultrassonografia favorece o diagnóstico de condições que afetam a unha e suas estruturas.
Marcadores genéticos para doença hepática esteatótica podem contribuir para um manejo personalizado.