Realizada entre 5 e 9 semanas de gestação, a ultrassonografia transvaginal precoce desempenha um papel importante nas avaliações gestacionais de primeiro trimestre.
O caso
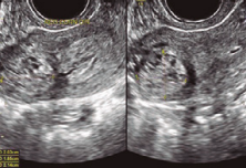
Gestante de 36 anos, primigesta e sem antecedentes mórbidos, obstétricos ou ginecológicos relevantes, realizou a primeira coleta de ßHCG com 6 semanas e 2 dias (1.498 UI/L). Em seguida, fez coletas repetidas de ßHCG, assim como a ultrassonografia transvaginal, como detalhado no quadro 1. Com 7 semanas e 6 dias, apresentou sangramento vaginal moderado e intermitente e, assim, uma nova coleta de ßHCG foi realizada com 8 semanas (5.440 UI/L). A ultrassonografia transvaginal, feita com 8 semanas e 1 dia, levantou a suspeita de gestação ectópica cornual (imagem 1). A repetição desse exame após uma semana evidenciou aumento da imagem heterogênea em região cornual uterina à direita (imagem 2).

IMAGEM 1- Ultrassonografia transvaginal, 8 semanas e 1 dia, mostra imagem heterogênea em região cornual direita
IMAGEM 2- Ultrassonografia transvaginal, 9 semanas e 1 dia, aponta imagem heterogênea em região cornual direita.
Quadro 1 - Resultados das coletas de ßHCG e dos exames de ultrassonografia transvaginal

A discussão
Após o diagnóstico de gravidez por meio de um teste positivo de ßHCG, a ultrassonografia transvaginal precoce, a partir de 5 semanas de gestação, é de suma importância, uma vez que o exame traz inúmeros benefícios.
No caso clínico apresentado, ilustramos a importância de definir a localização do saco gestacional. Na ultrassonografia, o primeiro sinal indireto de gestação observado é o espessamento endometrial, que, no entanto, não configura um achado específico, tendo em vista que pode ser encontrado também em pacientes não gestantes (no fim da fase lútea) e em situações de gestação ectópica.
Importância da ultrassonografia gestacional de primeiro trimestre
Já o saco gestacional representa o primeiro sinal diagnóstico de gestação intrauterina, podendo ser visualizado à ultrassonografia transvaginal com 4 semanas e 3 dias, a partir da data da última menstruação. Aparece como uma estrutura em forma de anel, de contorno hiperecogênico e centro anecoico. Nessa fase inicial, localiza-se excentricamente na parte superior do endométrio espessado, o que facilita a distinção do “pseudossaco gestacional”, que pode ocorrer nos casos de gestação ectópica e aparece como uma imagem anecoica, alongada, localizada na região mediana, correspondendo a uma coleção líquida intracavitária (imagens 3 a 5).

IMAGEM 3- Ultrassonografia transvaginal bidimensional, 6 semanas, aponta presença de saco gestacional intrauterino, compatível com gestação normal tópica.
IMAGEM 4- Ultrassonografia transvaginal tridimensional, 6 semanas, mostra gestação normal tópica
Os níveis séricos maternos de ßHCG, nos quais deve-se evidenciar gestação intrauterina à ultrassonografia, vão de 1.000 a 2.000 mUI/mL (Kadar et al., 1981; Cacciatore et al., 1990).
A associação dos níveis de ßHCG no sangue materno com o exame ultrassonográfico ajuda a fazer diagnóstico diferencial entre uma gravidez normal tópica e uma ectópica ou anormal.
Em uma gestação ectópica, o saco gestacional encontra-se fora da cavidade uterina, e esta pode ser tubária, ovariana, abdominal, cornual, em cicatriz de cesárea ou cervical. Essa situação acomete de 1% a 2% das gestações, das quais cerca de 97% a 99% são tubárias e, destas, quase 75% ocorrem na porção ampular da tuba uterina (Stock, 1993; Cunningham, 2010). As imagens 6 a 9 mostram alguns dos tipos de gestações ectópicas.
A sensibilidade do exame ultrassonográfico realizado por via transvaginal no diagnóstico da gravidez ectópica varia de 70% a 95% (Cacciatore, 1990; Pellerito et al., 1992; Kaplan et al., 1998; Condous et al., 2005).
Benefícios da realização da ultrassonografia transvaginal precoce


Imagens 5A e 5B- Ultrassonografia transvaginal, 6 semanas, evidencia um pseudossaco gestacional intrauterino e imagem anexial compatível com gestação ectópica
IMAGEM 6- Ultrassonografia transvaginal, 6 semanas e 2 dias, apresenta imagem de gestação ectópica tubária. Observa-se, em região anexial adjacente ao ovário direito, imagem heterogênea correspondendo a saco gestacional, com vesícula vitelínica e embrião com batimentos cardíacos.
IMAGEM 7- Ultrassonografia transvaginal, 6 semanas e 3 dias, aponta gestação ectópica cornual. Observa-se saco gestacional localizado em região cornual direita, com presença de embrião com batimentos cardíacos.
IMAGEM 8- Ultrassonografia transvaginal, 7 semanas e 5 dias, indica gestação ectópica em cicatriz de cesárea. Observa-se, nessa região, imagem heterogênea correspondendo a saco gestacional e embrião com batimentos cardíacos.
IMAGEM 9- Ultrassonografia transvaginal, 6 semanas e 5 dias, aponta gestação ectópica cervical. Observa-se saco gestacional localizado no colo uterino, com presença de vesícula vitelínica.
A conclusão
A ultrassonografia transvaginal precoce, realizada entre 5 e 9 semanas de gestação, desempenha um papel importante nas avaliações gestacionais de primeiro trimestre. Em gestações normais, determina a correta idade gestacional (datação da gravidez), o número de sacos gestacionais, o número de embriões e a corionicidade nos casos gemelares. Também ajuda a fazer o diagnóstico de diversas anomalias, incluindo abortamentos espontâneos, gestações ectópicas, gestações molares, alterações de morfologia uterina e alterações na sonoembriologia. Imagens de alta qualidade e profissionais experientes resultam em maiores taxas de detecção dessas possíveis complicações.
Deve-se salientar que, tão importante quanto diagnosticar corretamente casos anormais, é evitar erros que podem levar a danos inadvertidos a gestações normais.
Consultoria Médica:
Dr. Mário Henrique Burlacchini de Carvalho
Dr. Lin Tao Jine
Dra. Clarissa Oliveira Lamberty
Nirsevimabe ajuda a prevenir a infecção e complicações causadas pelo VSR em lactentes
Saiba como contornar os desafios na interpretação dos resultados da dosagem de prolactina
Strain atrial: uma nova ferramenta clínica para avaliação da função cardíaca
Ginecologista, o relógio biológico de sua paciente está correndo.