Menor, 9 anos, sexo masculino, foi levado para atendimento médico com febre e vômitos iniciados três dias antes, com evolução para diarreia, tosse e coriza nas 48 horas pregressas. Devido à queda do estado geral e à piora clínica, o pediatra decidiu pela internação para investigação e tratamento do quadro. Na ocasião, foi realizada uma tomografia computadorizada (TC) de tórax para esclarecer achados inespecíficos em imagem radiográfica e melhor avaliar o envolvimento pulmonar.
A TC de tórax mostrou múltiplos pequenos focos de consolidação com halo em vidro fosco, de distribuição randômica, alguns subpleurais. Diante do cenário atual da pandemia, a imagem recebeu a classificação de indeterminada para pneumonia viral por Covid-19, admitindo-se, assim, o diagnóstico diferencial com outras pneumonias (virais e não virais) ou processos não infecciosos.

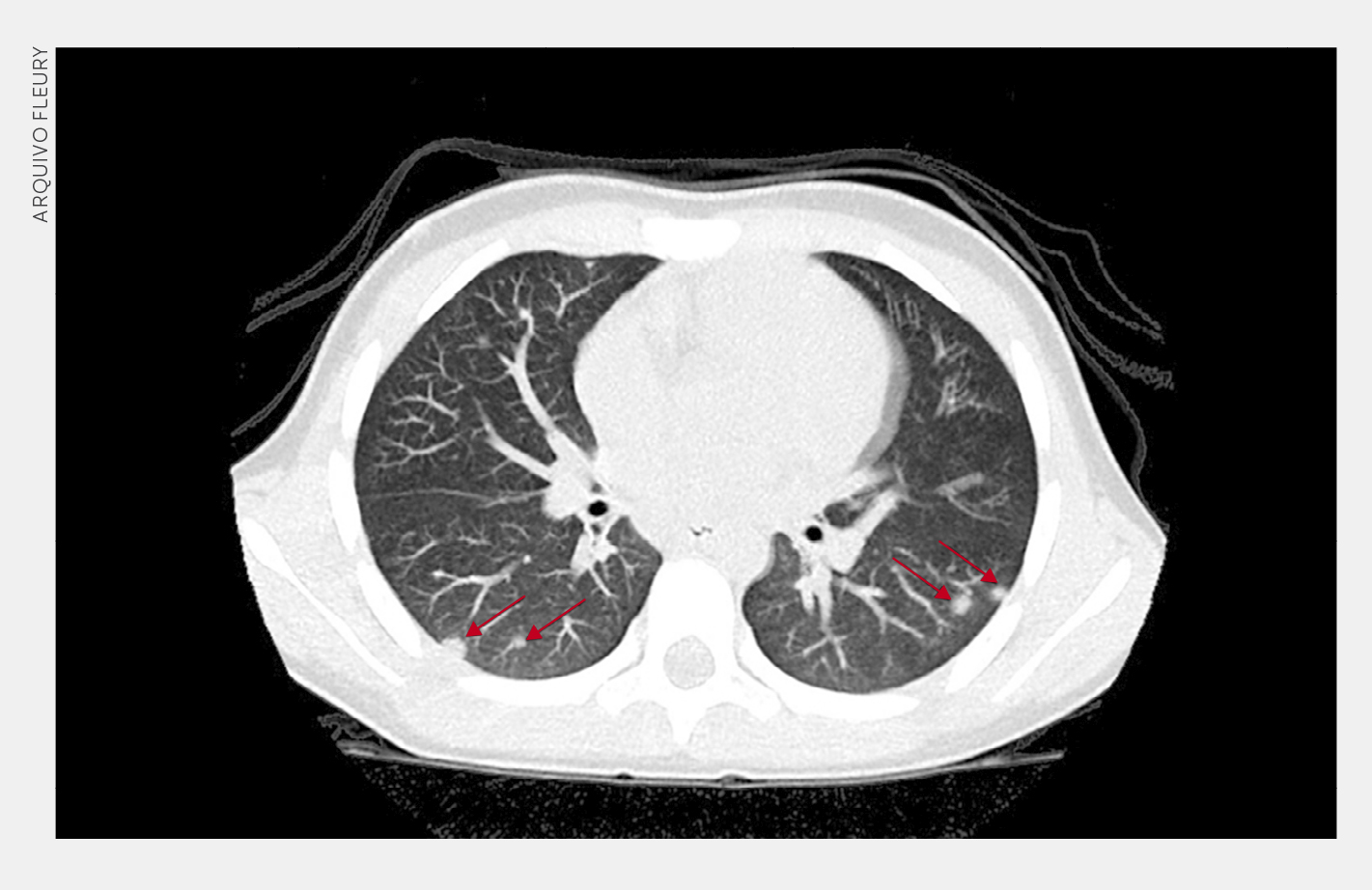
TC de tórax mostra múltiplos pequenos focos de consolidação com halo em vidro fosco (setas), de distribuição randômica, alguns subpleurais. No laudo, o radiologista classificou a imagem como indeterminada para pneumonia viral por Covid-19, admitindo diagnóstico diferencial com outras pneumonias (virais e não virais) ou processos não infecciosos.
Diante da história clínica e das alterações observadas, qual o diagnóstico provável?
Os vírus são a causa mais comum de infecção respiratória nos pacientes pediátricos e, durante a pandemia, o Sars-CoV-2 tem sido uma preocupação constante. As crianças, entretanto, tendem a apresentar sintomas clínicos de Covid-19 mais leves e doença pulmonar menos extensa que adultos, com evolução menos frequente para complicações, em geral associada a comorbidades significativas preexistentes.
A tomografia computadorizada (TC) de tórax se destaca como o método de imagem de maior acurácia na identificação de padrões sugestivos de infecção viral, além de contribuir no diagnóstico de outras etiologias, com impacto direto na conduta. O padrão da imagem das pneumonias virais se relaciona com a patogenia da infecção, podendo sugerir um diagnóstico diferencial do agente envolvido durante os estágios iniciais do quadro.
Embora as alterações tomográficas, na Covid-19, não sejam patognomônicas na população pediátrica, um padrão de opacidades em vidro fosco ou de focos de consolidações periféricas e/ou subpleurais, geralmente bilaterais, predominando nos lobos inferiores, sugere o diagnóstico em um contexto clínico apropriado. O sinal do halo, que descreve uma consolidação focal com opacidade em vidro fosco ao redor, foi relatado em até 50% dos casos pediátricos e, portanto, ajuda a restringir o diagnóstico diferencial quando presente.
Quando a TC de tórax é feita sob a suspeita de pneumonia por Sars-CoV-2, recomenda- -se que o laudo siga um formato estruturado, classificando os achados de imagem em uma de quatro categorias: típica, indeterminada, atípica e negativa para a Covid-19.
No paciente em estudo, a TC de tórax se mostrou indeterminada, ou seja, com alterações não específicas, eventualmente relacionadas à Covid-19, mas ainda admitindo diagnóstico diferencial com outros processos infecciosos e não infecciosos. Mesmo porque a pesquisa de Sars-CoV-2 em material de naso e orofaringe por RT-PCR da criança, realizada no quarto e sexto dias de sintomas, foi negativa.
A partir daí, o pediatria pediu outros exames para tentar elucidar o agente etiológico. O teste imunocromatográfico em amostra de fezes detectou a presença de rotavírus, atribuído à causa do quadro. A sorologia para Covid-19 não reagente, feita três semanas após a alta hospitalar, corroborou a exclusão da infecção pelo Sars-CoV-2.
O caso demonstra que mesmo vírus responsáveis por sintomatologia predominantemente abdominal podem pro - vocar alterações pulmonares e, portanto, devem ser considerados em crianças, de acordo com a história clínica. Ademais, a possibilidade de coinfecção por outros vírus não pode ser descartada.
TC de tórax na população pediátrica: quando pedir?
O uso do exame para avaliar infecções pulmonares em crianças deve ser criterioso e estabelecido individualmente. A discussão entre o pediatra e o radiologista é sempre estimulada. Confira algumas situações em que o exame pode auxiliar a conduta clínica: •
CONSULTORIA MÉDICA
Radiologia Pediátrica
Dr. Rodrigo Regacini
rodrigo.regacini@grupofleury.com.b
Fleury oferece assistência multidisciplinar às doenças do assoalho pélvico em seu Centro Integrado
Uma vez que sofre perda de osso devido à queda dos hormônio
Achado em chama de vela caracteriza os casos em que não há realmente uma lesão obstrutiva
Embora as infecções justifiquem a maioria dos casos, especialmente as virais, a manifestação também