Paciente de 30 anos, com queixa de dismenorreia desde a adolescência. Utilizou anticoncepcional por 15 anos, tendo interrompido o uso seis meses antes da consulta. Relatava acentuação das cólicas mais recentemente, acompanhada também de dispareunia.
Ao exame de toque, o ginecologista percebeu espessamento palpável na topografia dos ligamentos uterossacros e, para investigação, solicitou uma ultrassonografia transvaginal (USTV).

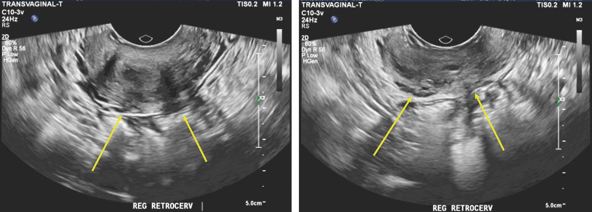
USTV sem preparo intestinal mostra imagem nodular junto ao fórnice posterior medindo 1,3 x 0,7 x 1,0 cm, com espessamento tecidual hipoecogênico, provavelmente em parede do reto alto, com medidas de 2,2 x 1,0 cm
O clínico levantou a suspeita de endometriose devido à identificação de uma imagem nodular em fórnice vaginal posterior e pediu uma USTV com preparo intestinal, além de ressonância magnética (RM) da pelve para a confirmação do quadro.
USTV com preparo intestinal confirma lesão com características de endometriose na região do tórus uterino e dos ligamentos uterossacros
USTV com preparo intestinal exibe extensão paravaginal direita no trajeto do plexo hipogástrico inferior direito e invasão das paredes vaginal e do reto, onde há lesão que acomete a camada muscular, com 2,6 x 1,8 x 1,5 cm, a 7,9 cm da borda anal, envolvendo 25% da circunferência da alça.
RM confirma as lesões e define algumas estrias na fossa pararretal direita, algumas em direção ao músculo elevador do ânus.
Consultoria médica
Dra. Ana Paula Carvalhal Moura
Dra. Luciana Pardini Chamié
luciana.chamie@grupofleury.com.br
Dra. Maria Inês Novis
Fleury oferece assistência multidisciplinar às doenças do assoalho pélvico em seu Centro Integrado
Uma vez que sofre perda de osso devido à queda dos hormônio
Embora as infecções justifiquem a maioria dos casos, especialmente as virais, a manifestação também
Achado em chama de vela caracteriza os casos em que não há realmente uma lesão obstrutiva