Papel da angiotomografia na diferenciação entre oclusão verdadeira e pseudo-oclusão da artéria carótida interna

Achado em chama de vela caracteriza os casos em que não há realmente uma lesão obstrutiva

A trombectomia mecânica tem reduzido  significativamente a morbidade e a mortalidade dos  pacientes com acidente vascular cerebral isquêmico  agudo (AVCI) secundário à oclusão de grandes vasos.  

Após excluídas as contraindicações para o tratamento  da condição por meio da tomografia computadorizada  de crânio, a realização da angiotomografia computadorizada configura o próximo passo para  identificar a oclusão, permitindo, assim, decidir  se o paciente é ou não elegível ao procedimento  endovascular1.

Estudos mostram que 40-60% dos pacientes com  oclusão da artéria carótida interna (ACI) intracraniana  não apresentam contrastação do segmento  extracraniano desse vaso. Em 46% dos casos, a não  contrastação da ACI cervical se deve a uma oclusão  verdadeira, causada por aterosclerose do bulbo  carotídeo, dissecção ou trombo cervical2. Os outros 54%  decorrem de um fenômeno hemodinâmico conhecido  como pseudo-oclusão3.

Presente em 6% a 15% de todos os casos de AVCI,  a pseudo-oclusão é um fenômeno comum4,5. Ocorre  quando um trombo obstrui a luz da ACI intracraniana,  levando a uma estagnação do fluxo na ACI cervical2 .  Nessa situação, não existe, de fato, uma lesão obstrutiva  no segmento cervical, mas apenas um impedimento da  vazão do fluxo pela oclusão intracraniana, o que gera  a não contrastação da ACI cervical numa fase precoce, ou seja, arterial, do contraste. Na arteriografia, por  sua vez, é possível identificar fluxo nesses vasos após  cateterização seletiva4. 

A diferenciação entre oclusão verdadeira e pseudo- -oclusão tem impacto no planejamento terapêutico e na  questão do tempo. Nas oclusões verdadeiras, afinal, o procedimento é mais longo, já que requer angioplastia e  possível colocação de stent, podendo, portanto, exceder  o período da janela terapêutica6.

Como distinguir a oclusão verdadeira da pseudo-oclusão?

A angiotomografia permite definir se estamos  diante de uma oclusão ou pseudo-oclusão. Para  concluir que a não contrastação da ACI cervical  num contexto de AVCI se deve a uma pseudo- -oclusão, três critérios devem ser preenchidos:

1. Oclusão da ACI intracraniana, mais comumente  no nível do T carotídeo (figura 1A).

2. Presença de padrão de falha de enchimento  com morfologia em “chama de vela” (chamado  de beak pattern) na ACI: logo após a bifurcação,  observa-se um afilamento gradual antes de haver  a parada da contrastação4. A especificidade desse  critério aumenta para 100% diante da identificação  conjunta de uma redução gradual na intensidade  da contrastação desse segmento do vaso, ou seja,  quanto mais cranial, menos intenso é o contraste5 (figura 1B e 1C).

3. Reenchimento da ACI cervical numa fase  mais tardia do contraste5 (figura 1D). Uma vez que o padrão em “chama de vela”  não é específico para pseudo-oclusão e  pode também estar presente nas dissecções  cervicais4, a correta diferenciação entre tais  casos exige a caracterização de enchimento  da ACI cervical numa fase mais tardia do  contraste. Dessa forma, nos pacientes com  AVCI agudo, não apenas a fase arterial da  angiotomografia deve ser feita, mas também  a venosa, tardia (15 segundos), ou mesmo o  estudo dinâmico, já que ambos possibilitam  caracterizar o fluxo lento, aumentando  significativamente a chance de identificar o  reenchimento da ACI cervical nos casos de  pseudo-oclusão7 .


Diagnóstico de pseudo-oclusão
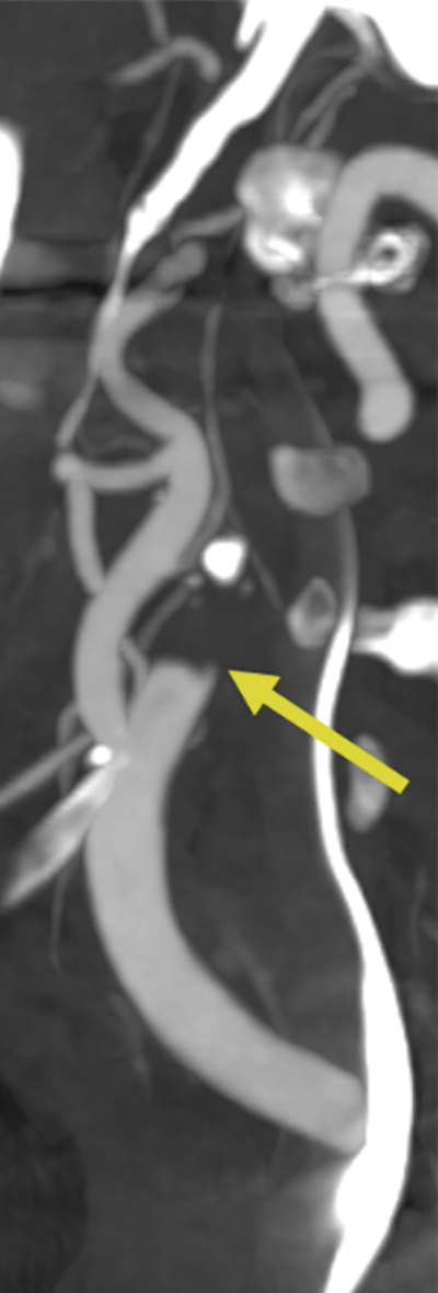
Na figura 1, a morfologia do segmento proximal da ACI cervical, logo após o bulbo, foi avaliada.  O padrão “chama de vela” teve alta acurácia para reconhecer a pseudo-oclusão.Figura 1. Neste caso de AVCI agudo, observa-se, no  plano coronal, oclusão do T carotídeo (seta em A).  No plano sagital (B), não há contrastação de toda  a artéria carótida interna (ACI) direita cervical e a  interrupção do fluxo é antecedida por afilamento  gradual (“chama de vela”) e redução gradual da  atenuação do contraste (seta em B). As imagens  C e D mostram cortes axiais no mesmo nível, sendo  o C na fase arterial e o D na fase venosa. As setas  mostram que a ACI direita não apresentava  contrastação na fase arterial e passou a apresentar  enchimento na fase venosa (tardia).


Diagnóstico de oclusão verdadeira
Na figura 2, o padrão reto,  chamado de flat, tem  especificidade de 100%  para determinar a oclusão  verdadeira5.Figura 2. Neste caso, há  interrupção proximal e  abrupta da ACI cervical logo  após a emergência, o que  é chamado de padrão flat,  avaliado no plano sagital.


Consultoria Médica em Neuroimagem

Dra. Cláudia da Costa Leite - [email protected]

Dra. Germana Titoneli dos Santos - [email protected]

Dr. Leandro Tavares Lucato - [email protected]

Dra. Milena Krieck Farche - [email protected]


Referências 

1. Fernández-Gómez M, Zitan-Saidi L, Gallo-Pineda F, Hidalgo- -Barranco C, Castro-Luna G. Single vs. Multiphase Computed  Tomography angiography in acute internal carotid artery occlusion:  An accuracy and interobserver agreement study. Clin Imaging. 2023  Oct;102:60-64. doi: 10.1016/j.clinimag.2023.07.005. Epub 2023 Aug  11. PMID: 37595353. 

2. Grossberg JA, Haussen DC, Cardoso FB, Rebello LC, Bouslama  M, Anderson AM, Frankel MR, Nogueira RG. Cervical Carotid  Pseudo-Occlusions and False Dissections: Intracranial Occlusions  Masquerading as Extracranial Occlusions. Stroke. 2017  Mar;48(3):774-777. doi: 10.1161/STROKEAHA.116.015427. Epub 2017  Jan 24. PMID: 28119435. 

3. Ni H, Yang T, Jia Z, Shi H, Liu S, Zhao L. Outcomes in acute  ischemic stroke patients undergoing endovascular thrombectomy:  Cervical internal carotid artery pseudo-occlusion vs. true occlusion.  Front Neurol. 2023 Jan 9;13:1106358. doi: 10.3389/fneur.2022.1106358.  PMID: 36698876; PMCID: PMC9868848. 

4. Kappelhof M, Marquering HA, Berkhemer OA, Borst J, van der  Lugt A, van Zwam WH, Vos JA, Lycklama À Nijeholt G, Majoie CBLM,  Emmer BJ; MR CLEAN Investigators. Accuracy of CT Angiography  for Differentiating Pseudo-Occlusion from True Occlusion or HighGrade Stenosis of the Extracranial ICA in Acute Ischemic Stroke:  A Retrospective MR CLEAN Substudy. AJNR Am J Neuroradiol. 2018  May;39(5):892-898. doi: 10.3174/ajnr.A5601. Epub 2018 Apr 

5. PMID:  29622556; PMCID: PMC7410653. 5. Kim H, Kwak HS, Chung GH, Hwang SB. Differentiating pseudoocclusion from true occlusion of proximal internal carotid artery in  acute ischemic stroke on CT angiography. Clin Neurol Neurosurg. 2019  Oct;185:105495. doi: 10.1016/j.clineuro.2019.105495. Epub 2019 Aug  19. PMID: 31470360. 

6. Poppe AY, Jacquin G, Roy D, Stapf C, Derex L. Tandem Carotid  Lesions in Acute Ischemic Stroke: Mechanisms, Therapeutic  Challenges, and Future Directions. AJNR Am J Neuroradiol. 2020  Jul;41(7):1142-1148. doi: 10.3174/ajnr.A6582. Epub 2020 Jun 4. PMID:  32499251; PMCID: PMC7357657. 

7. Choi JH, Jang J, Koo J, Ahn KJ, Sam Shin Y, Kim BS. Multiphasic  Computed Tomography Angiography Findings for Identifying  Pseudo-Occlusion of the Internal Carotid Artery. Stroke. 2020  Aug;51(8):2558-2562. doi: 10.1161/STROKEAHA.120.029512. Epub  2020 Jun 26. PMID: 32586224.